锐赛IIT案例:肺鳞癌伴骨髓转移,DC疫苗24周实现完全缓解
引言
肺癌骨转移是晚期肺癌最常见且严重的并发症。脊柱、肋骨、骨盆和四肢长骨是肺癌细胞远处播散的最常见部位。在全球范围内,肺癌的发病率和死亡率居高不下,约30%-40%的晚期患者会发生骨转移。
骨转移会引发骨痛、病理性骨折、脊髓压迫、高钙血症等骨骼相关事件,而晚期肺癌骨转移的治疗手段和疗效却非常有限,多以对症处理及骨改良药物延缓病情。而随着靶向治疗、免疫治疗等系统治疗的发展,未来晚期肺癌骨转移患者的治疗手段将更为系统和多样。

近日,锐赛生物开展的一项DC疫苗治疗骨转移瘤的临床研究(ChiCTR2000040715)报道了一例较为罕见的复发性肺鳞癌伴骨髓转移的病例。
病例回顾:从“治愈”到复发
患者为63岁男性,2023年7月因胸片异常就诊,经检查确诊为肺鳞癌伴多发性骨转移,接受了卡铂+白蛋白紫杉醇+帕博利珠单抗(免疫化疗)的治疗方案,6个周期后PET-CT显示所有病灶代谢活性完全消失,达到“完全缓解”。 随后接受帕博利珠单抗维持治疗一年。
然而,2025年4月患者突然出现严重贫血、血小板骤降、外周血中出现幼红幼白细胞。复查显示左主支气管壁增厚和左肺门淋巴结肿大,支气管内超声引导下经支气管针吸活检确诊为鳞状细胞癌复发,骨髓活检则提纤维组织中可见鳞癌细胞浸润,确诊为骨髓转移。

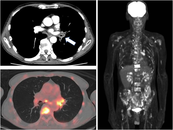
治疗前PET-CT影像

支气管内超声引导经支气管针吸活检
紧急入组:从方案讨论到完成接种
研究组在充分评估了患者的病史和进展情况,认为患者适合纳入接受新抗原DC疫苗的治疗。随后将治疗方案与患者本人及家属进行了充分的沟通,在征得同意后启动了入组治疗。
首先研究组利用肺部肿瘤穿刺样本进行了全外显子测序(WES)及转录组测序(RNAseq),通过计算模型和体外评价筛选了肿瘤细胞中携带的20条免疫原性最强的特异性抗原。

随后,为患者定制了特异性抗原负载的DC疫苗,完成严格的质量检测后放行。

并根据患者的实际情况制定了完整的治疗方案,按计划紧急启动了治疗。


密集随访:检测疾病进展,评估治疗获益
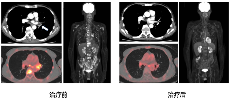
在启动治疗后的24周,患者完成整个治疗疗程,研究组通过影像评估了患者治疗前后骨转移灶的变化。

通过PET-CT检测,我们发现患者的脊柱、双侧股骨及肱骨的转移灶均得到有效控制,患者实现了完全缓解。
DC细胞:免疫系统的“指挥官”
树突状细胞(Dendritic Cell,DC)是机体中功能最为强大的专职抗原呈递细胞,在免疫应答的启动、调控中起核心作用。它有三大核心作战机制:
· 情报传递:DC细胞捕获肿瘤抗原,将其“身份信息”传递给T细胞;
· 精准打击:激活初始T细胞分化为CD4+/CD8+杀伤性T细胞;
· 建立记忆:刺激生成记忆细胞,形成免疫记忆,长期监视肿瘤复发

DC细胞在人体免疫机制中跨器官的运作
基于以上机制,DC 细胞在肿瘤免疫治疗领域展现出巨大潜力。它们能激发机体的免疫系统,重建肿瘤的免疫监视功能,并与其他免疫细胞协同作用,为肿瘤免疫治疗做出重要贡献。

DC细胞疗法的治疗流程:
1、抽取患者的外周血,从中分离提取单核细胞(树突状细胞前体),然后经过培养、扩增、诱导分化为 DC。
2、合成对应肿瘤抗原,与DC细胞共培养,使DC细胞负载肿瘤抗原。
3、通过回输,增加体内 DC 细胞的数量,并对免疫系统下达 “消灭指令”,让免疫细胞能精准识别并杀灭这类带有特异性抗原的 “癌细胞”。
随着细胞医学的持续进展,DC 细胞免疫疗法在短短几年内取得了迅猛发展,研究治疗范围涵盖多个领域,包括胰腺癌、非小细胞肺癌、结直肠癌等实体肿瘤,以及多种血液肿瘤。
结语
本病例为1位罕见的复发性肺鳞癌伴骨髓转移患者,经过以新抗原DC疫苗为核心的综合治疗后,成功实现了骨转移灶的完全缓解。该案例不仅凸显了肺鳞癌骨髓转移的临床罕见性与治疗复杂性,也为个体化免疫治疗在实体瘤转移管理中的应用提供了有力依据。
DC疫苗作为一种个性化的肿瘤免疫疗法,在本病例中展现出良好的安全性与疗效。通过全外显子与转录组测序筛选特异性抗原,制备患者专属的DC疫苗,实现了对肿瘤细胞的精准靶向,为传统治疗失败或罕见转移类型的患者提供了新的治疗思路。
随着肿瘤免疫治疗的不断发展,基于新抗原的个体化疫苗有望在肺癌骨转移乃至其他实体瘤转移的综合管理中发挥更大作用。未来仍需更多临床研究与长期随访,进一步明确其最佳适用人群、联合治疗方案及长期疗效,推动该策略向临床常规应用的转化。
文:锐赛生物-医研中心 | 原创内容,未经允许,精致转载!
声明:本文内容仅用于科普交流,不构成任何医疗建议或治疗方案推荐。
文中涉及的科研成果、临床数据等信息均来源于公开文献及权威机构发布,仅供参考。由于医学的复杂性,个体案例不代表普遍疗效,请勿盲目解读。
本平台不对用户基于本文内容作出的任何决策承担责任,相关治疗请务必前往正规医疗机构,在专业医生指导下进行。
本文图片来源网络,如有版权问题请联系删除。本声明最终解释权归公众号所有。
